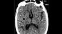
>>7006896Trichinosis, it is a type of worm that comes from undercooked pork that has been infected by coming into contact with the feces of an animal that carries the adult version. When humans eat pork that carries the worm, it can infest our intestines and we can also act as a secondary host to the offspring which burrow through your intestine into your body and lodge themselves in various organs and muscles including the brain, heart, liver, etc.
If you break the chain of transmission the worm dies out and it is treatable with medication if caught early, but it is very tough to figure out you have it in time since it is both rare and asymptomatic to most people.
You usually wont notice you have it until one or twenty of the juveniles lodge in your brain and you start having seizures